T
The Daily Insight

What is dystrophic calcification?

Author

Andrew Adams

Published Mar 06, 2026


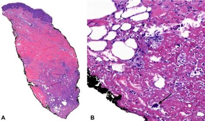
Dystrophic calcification is deposition of calcium salt in degenerated tissues with the absence of a systemic mineral imbalance. It is often associated with trauma, infection, or inflammation and rarely appears in the head and neck area.

What is a dystrophic calcification mean?

Abstract. Dystrophic calcification can be defined as a calcification that occurs in degenerated or necrotic tissue. It is associated with multiple clinical conditions, such as collagen vascular diseases.

Is dystrophic calcification normal?

Dystrophic soft tissue calcification is a type of soft-tissue calcification, which occurs in damaged or necrotic tissue, while the serum level of calcium and phosphorus are normal. It may progress to ossification, in which case a cortical and trabecular bone pattern is visible.

What is dystrophic calcification examples?

Examples of areas in the body where dystrophic calcification occurs include atherosclerotic plaques, damaged heart valves, and lymph nodes in the presence of tuberculosis infection.

How is dystrophic calcification treated?

Dystrophic calcification is known as a condition that is difficult to treat. Various therapies have been tried. Pharmacological approaches include warfarin, colchicine, probenecid, bisphosphonates, and diltiazem, all of which have been used with variable success.

PATHOLOGIC CALCIFICATION: Dystrophic & Metastatic Calcification

31 related questions found

Is dystrophic calcification painful?

The nodules can vary in shape and size and can be painful leading to functional impairment. The lesions in dystrophic calcification are localized based on the underlying disease.

How does dystrophic calcification occur?

Dystrophic calcification occurs when calcium is accumulated in the area of trauma or necrosis which may be caused by blunt trauma, inflammation, injections, and the presence of parasites [11]. In many cases, it appears early in childhood but it often tends to be diagnosed late since it shows no signs or symptoms.

What is the difference between dystrophic calcification and metastatic calcification?

The mechanism of calcification in the viscera is categorized into two groups. Metastatic calcification with hypercalcemia occurs when calcium deposits in previously normal tissue whereas dystrophic calcification occurs in previously damaged tissue.

What is dystrophic calcification in the prostate?

Background: Dystrophic calcification (DC) can occur as a reaction to tissue damage and necrosis. So far, this has never been described as a complication after conventional transurethral resection of the prostate (TURP).

What causes calcification in thyroid?

Dystrophic calcification of thyroid results from degenerative changes (calcified colloid and degenerated epithelium, psammoma bodies, old hemorrhage, vessel wall, etc.)

Will calcified hematoma go away?

This condition presents as a hard and painful area located at the site of a bruise which has been healing for 2-4 weeks. In most athletes, if the area is allowed to heal appropriately this calcification or bone formation will resorb and go away on its own.

Is calcification on the brain serious?

Perivascular calcifications within the brain form in response to a variety of insults. While considered by many to be benign, these calcium phosphate deposits or "brain stones" can become large and are associated with neurological symptoms that range from seizures to parkinsonian symptoms.

What autoimmune disease causes calcification?

Limited scleroderma can cause tiny calcium deposits (calcinosis) to develop under your skin, mainly on your elbows, knees and fingers. You can see and feel these deposits, which sometimes are tender or become infected.

What is dystrophic calcification of the kidney?

In general, in dystrophic calcification, serum calcium and phosphorus levels are normal and calcium phosphate deposition occurs predominantly in the renal cortex. In metastatic calcification, patients often have elevated serum calcium and phosphate levels or an elevated urinary pH.

How is calcification of the knee treated?

Treatment includes rest, ice, medicines to reduce pain and swelling, and gentle range-of-motion exercises. In most cases, the pain of a flare-up will go away after 1 to 2 months. If you're in a lot of pain, your doctor may inject steroid medicine into the area.

What are suspicious calcifications?

Calcifications that are irregular in size or shape or are tightly clustered together, are called suspicious calcifications. Your provider will recommend a stereotactic core biopsy. This is a needle biopsy that uses a type of mammogram machine to help find the calcifications.

What causes calcium build up in prostate?

In young men, prostatitis, infection and inflammation of the gland, is the most common cause. In older men, benign prostatic hyperplasia (BPH) is the most frequent cause of calcium deposits, but small deposits (microcalcifications) also occur in some prostate cancers.

Is calcification in prostate cancerous?

The study has shown that prostatic calcifications are common in patients with prostate cancer. A large proportion of calcifications occur in and around tumors which could have an impact on their subsequent treatment.

What are the symptoms of a calcified prostate?

Prostatic calcifications are most often an incidental and asymptomatic finding, but they have been associated with symptoms such as dysuria, hematuria, obstruction, or pelvic/perineal pain. Occasionally calcifications can be passed via the urethra 1,2.

What causes calcification in the human body?

Causes of calcification

infections. calcium metabolism disorders that cause hypercalcemia (too much calcium in the blood) genetic or autoimmune disorders affecting the skeletal system and connective tissues. persistent inflammation.

Is calcinosis cutis painful?

Often calcinosis cutis has no symptoms. But in some cases, it can be very painful. Treatments are available, including surgery, but the calcium lesions may recur.

What causes metastatic calcification?

Metastatic calcification is caused by an increased calcium phosphate product in the blood, and may result from hypercalcemia or hyperphosphatemia, or both. It is commonly associated with hyperparathyroidism, sarcoidosis, metastatic disease, and myeloma (Fig. 8-36).

What is a calcified lesion in brain?

Basal ganglia calcification is a very rare condition that happens when calcium builds up in your brain, usually in the basal ganglia, the part of your brain that helps control movement. Other parts of your brain can be affected as well.

What is calcification process?

Calcification is a process in which calcium builds up in body tissue, causing the tissue to harden. This can be a normal or abnormal process.

What does calcification in the liver mean?

Abstract. Although relatively uncommon in daily clinical practice, calcification may be found in inflammatory hepatic lesions and in benign and malignant liver neoplasms. The most common source of calcified hepatic lesions is inflammatory conditions such as granulomatous diseases (e.g., tuberculosis).