T
The Daily Insight

Do fillings need to be replaced?

Author

William Burgess

Published Feb 25, 2026


While dental fillings can last for many years, sadly, they do not last forever. Eventually, all fillings need to be replaced due to constant stress from eating and drinking, and especially from tooth clenching and grinding. Over time, fillings can wear out, chip, crack, or even fall out altogether.

How often should fillings be replaced?

A patient with resin fillings may need to replace the fillings every seven to 10 years. Silver or amalgam fillings are also popular due to their durability and affordability, lasting an average of 15 years.

How do you know if a filling needs to be replaced?

To help you protect your smile, teeth, and gums, here are 6 signs your filling may need to be replaced:
  1. The Filling is Cracked. ...
  2. Your Tooth Hurts. ...
  3. You Have Sensitivity When You Drink Cold Beverages. ...
  4. Your Filling is Discolored. ...
  5. You Were Injured. ...
  6. Your Filling is Old.

What happens if you don't replace fillings?

If a filling isn't replaced within a few days, it could cause damage to the unprotected tooth. Bacteria and food particles can stick into the empty space, causing decay. Also, the missing filling can expose dentin, the second layer of tooth under the hard outer enamel.

How long do dental fillings last?

On average, you can expect a metal filling to last for about 15 years before needing to be replaced, but the length of time can vary based on several factors, such as if you grind or clench your teeth. Tooth-colored fillings are made from a mixture of fine glass and plastic particles.

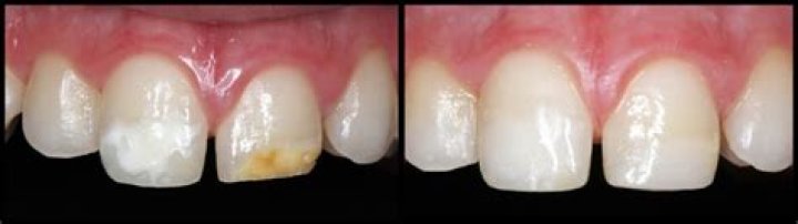
REPLACING SILVER FILLINGS OR AMALGAM FILLINGS- BIOMIMETIC DENTISTRY

30 related questions found

What fillings last the longest?

Gold fillings last the longest, anywhere from 15 to 30 years. Silver amalgam fillings can last from 10 to 15 years before they need to be replaced. Composite resin fillings don't last as long. You may need to replace them every five to seven years.

Can dental fillings last a lifetime?

It may last a lifetime or need to be replaced in a few years. On average, a filling should last a decade or more. Some dentists offer warranties around 1 to 2 years on new fillings, provided that you have checkups every 6 months and take good care of your teeth at home.

What happens if you get a cavity under a filling?

If a filling has failed or decay is detected on the X-rays, the fillings will have to be replaced. If the recurrent decay is extensive, a dentist may need to use a crown to replace the filling. There may not be enough remaining tooth structure to support the replacement filling.

How do dentists remove old fillings?

A High Volume Suction device will be used. This suction pulls all particles away from the tooth as the filling is being drilled out. Powdered charcoal and chlorella are placed in your mouth under the rubber dam.

How do dentists replace old fillings?

A dentist may recommend that you replace your old dental fillings with dental crowns. If you have had a cavity at some point in your life, there is a chance the dentist used grey metal amalgam. These are the silver fillings you can see in your smile when you speak or laugh.

Can fillings last 40 years?

Fillings are designed to last for years, with some going beyond 15 to 40 years. However, with use, a filling may crack, fall out, or wear down, which then creates space that can harbor bacteria again.

Does replacing old fillings hurt?

A damaged or corrupt filling can expose delicate nerves and invite tooth-decaying bacteria. You can also get a cavity underneath a loose filling. This will not only begin to hurt but smell as well. Getting your filling looked at and repaired quickly can put an end to tooth sensitivity and pain.

How much does a filling replacement cost?

Most filling treatments hold stable prices in the following ranges: $50 to $150 for a single, silver amalgam filling. $90 to $250 for a single, tooth-colored composite filling. $250 to $4,500 for a single, cast-gold or porcelain filling.

How many fillings is too many?

There really isn't a limit to the number of fillings your dentist can give you at one time. In fact, if you have a few cavities located in the same area (the upper right of your mouth, for example), your dentist can give you a few tooth fillings all at once.

Can you redo a filling?

So, what can you expect from a filling replacement procedure? Well, it's mostly the same as a regular filling procedure, but with a tad more work on the part of the dentist, who will remove the old or damaged filling and replace it with a new one.

How many cavities does the average 30 year old have?

Cavities

Although one can get a cavity at any age research and studies indicate that has proven that most people develop at least one cavity in their teeth by age of 30.

Can composite fillings last 20 years?

composite fillings last 5 to 15 years. gold fillings last 15 to 20 years.

Can I get my silver fillings replaced with white ones?

Yes, silver fillings can be replaced with white fillings but other options such as inlays and onlays may be more suitable when the filling is large.

How long do white fillings last?

How Long Do White Fillings Last? Since metal fillings aren't made of metal, it's natural to worry about their durability. Although they are made of a composite resin material, they can last for 10 years or longer with the right aftercare.

Why is my tooth black under my filling?

When fluids leak underneath a filling, staining and decay may develop. Leakage may appear as a dark line around the edge of the filling or a dark area underneath the filling itself. White fillings may turn a darker color over time from smoking, drying out or exposure to high staining foods or drinks.

How do you know if a dentist is bad?

Nine Dental Red Flags
  1. Red Flag #1 – Your Old Dental Records Are Not Requested. ...
  2. Red Flag #2 – The Office Is Using Old Technology. ...
  3. Red Flag #3 – Sterile Protocol Is Broken. ...
  4. Red Flag #4 – You Have To Ask For Oral Cancer Screenings. ...
  5. Red Flag #5 – Overzealous About Extensive Work. ...
  6. Red Flag #6 – Their Reputation Is Negative.

Can cavities come back after filling?

Unfortunately, tooth decay can still happen underneath a filling, especially if the filling has been cracked, worn, or otherwise damaged. In these cases, bacteria can enter your tooth and a new cavity can start again.

When should amalgam fillings be replaced?

Metal amalgam fillings are designed to last for about ten years. At that point there's a good chance that the cement holding it in place is partially dissolved, which can make the filled tooth susceptible to decay from within! If your metal amalgam filling is over ten years old it's definitely time to replace it!

Do fillings weaken teeth?

A large filling can also weaken the tooth and, should this filling fail, it may be the case that the tooth is no longer able to support a cavity and a root canal treatment may be needed as a result or a crown may be needed in order to replace the filling.

How many cavities is normal?

According to the National Institutes of Health, 92% of adults in the United States between the ages of 20 and 64 years have had cavities in their permanent teeth. Each of these individuals has an average of 3.28 cavities.